Ха!
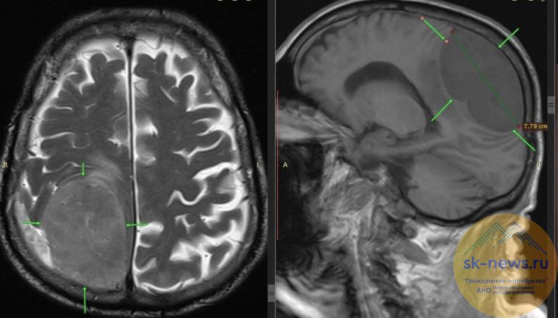
В Пятигорске врачи городской клинической больницы спасли 85-летнего мужчину, удалив ему опухоль мозга размером с крупный лимон.
Жителям Владикавказа, которые украшали квартиру живой ёлкой, после праздников придётся решать логистическую задачу: дерево нужно отвезти на одну из немногочисленных городских площадок для крупногабаритного мусора.
Космос подарит миру волшебство на Рождество Христово: редчайшее соединение планет образует яркую Рождественскую звезду в ночь с 6 на 7 января.
Жительницу Ставрополья, подозреваемую в серии краж кошельков у пассажиров маршруток, задержали с помощью системы биометрического распознавания лиц.
Жительница северо-осетинского села Гизель обратилась в полицию с заявлением на местную ворожею. Женщина утверждает, что отдала ясновидящей более миллиона рублей за полтора года ритуалов по «снятию порчи», но так и не получила обещанного исцеления.
В 2025 году «Ростелеком Контакт-центру» исполняется 30 лет.
Искусственные новогодние елки, изготовленные из поливинилхлорида (ПВХ), могут оказывать негативное воздействие на здоровье человека и окружающую среду.
Вера в своего ребенка, умение слушать и уважение к личности — эти три качества россияне назвали самыми важными для идеальной мамы. Таковы результаты совместного опроса, проведенного компанией «Ростелеком», книжным сервисом «Литрес» и сетью «Читай-город» в преддверии Дня матери.
Персонажем детской книги станет обнаруженный сотрудниками Палеонтологического института РАН новый вид вымершего гигантского медведя «уракан Борисяка»
В Карачаево-Черкесии стоит особняк, который не могут продать уже три с половиной года. Когда-то он принадлежал Рауфу Арашукову, построившему себе родовое поместье на улице, названной в честь Т. Арашукова.
Более 40% товаров на российском рынке косметики имеют признаки гринвошинга — то есть вводят потребителя в заблуждение относительно реальных свойств продукта.
Преступная группа из пяти человек – двух женщин и троих мужчин – похитила у одного из крупнейших банков страны более 60 миллионов рублей, воспользовавшись специальной государственной ипотечной программой.
В результате несчастного случая на пилораме 45-летний мужчина получил тяжелейшую травму — диск пилы практически полностью отпилил ему кисть руки.
Хищник весом более 700 кг, способный к быстрому бегу, обитал на территории Северного Кавказа 6 миллионов лет назад.
В Ново-Ивановском сельском Доме культуры прошёл яркий и познавательный праздник — библиотечная программа «Разноцветные зонты небывалой красоты», посвящённая Дню разноцветных зонтов.
Жители Владикавказа продолжают ждать тепла — сотни многоэтажек в городе до сих пор не готовы к началу отопительного сезона.
В столице Кабардино-Балкарии прокуратура совместно с администрацией города требует снести семь двухэтажных таунхаусов, построенных без разрешения на улице Профсоюзной.
Пять девушек стали мамами двойни в крае в 2025-м в возрасте до 20 лет.
Во Владикавказе 41-летняя женщина имитировала смерть мужа ради пенсии по потере кормильца.
Жители Ставрополья чаще всего платят улыбкой в продуктовых магазинах, кафе и ресторанах.
1 - 20 из 264



















