Ха!

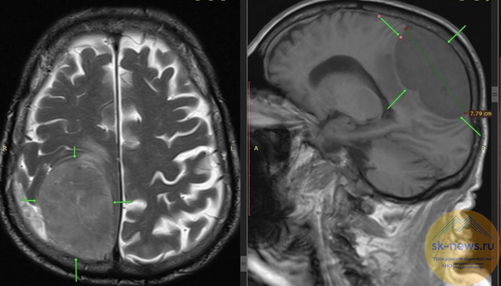
В Пятигорске врачи городской клинической больницы спасли 85-летнего мужчину, удалив ему опухоль мозга размером с крупный лимон.
Новообразование, обнаруженное после того, как у пенсионера отказала левая половина тела, оказалось доброкачественным, и пациент уже идёт на поправку, сообщили
Когда мужчину доставили в больницу, состояние напоминало инсульт — не работали левая нога и вся левая сторона тела. Однако экстренное обследование показало истинную причину: в правой теменно-затылочной области мозга, которая отвечает за движение противоположной половины тела, находилась гигантская опухоль размером 8×7 сантиметров.
Нейрохирурги провели сложнейшую операцию — костно-пластическую трепанацию черепа и полностью удалили новообразование.
Как пояснил нейрохирург Вадим Зотов, удаление такого объёма — это всегда риск: «У пациента происходят резкие колебания внутричерепного давления, вызывая смещение ствола головного мозга. А это в свою очередь серьёзно влияет на работу сердца и уровень артериального давления вплоть до критических нарушений. Потребовалась крайне тяжёлая и сложная работа не только нейрохирургов, но и врача-анестезиолога».
Контрольное обследование показало, что операция прошла успешно: мозг расправился, кровотечений нет, а движения в левой половине тела у пациента восстановились.
Как отметил заведующий отделением нейрохирургии Гранд Кундупян, это не единичный случай: «Нейрохирургия — одно из передовых направлений в работе нашей больницы. Ежегодно мы выполняем более 400 операций, в том числе высокотехнологичных, по квоте».
Подписывайтесь на Северо-Кавказские новости в Телеграм, будьте в курсе наших новостей!
фото ГКБ Пятигорска

Комментарии